간편 회원가입

간편 회원가입을 하시면 리얼한 치료 전후사진을 확인하실 수 있으며 브라우저 창을 닫으면 자동으로 회원탈퇴 처리됩니다.

간편 회원가입

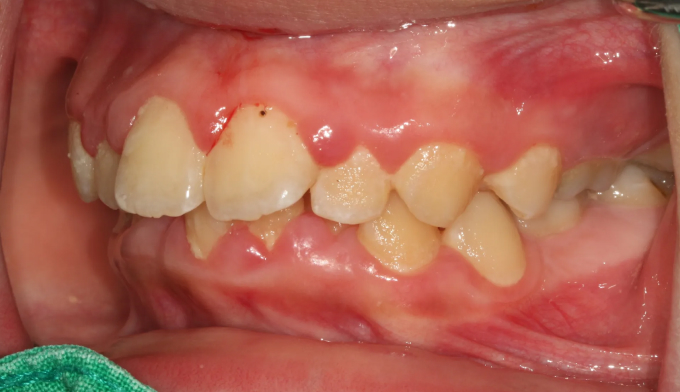
돌출입, 구강위생불량
소아
2025.02.10

본문

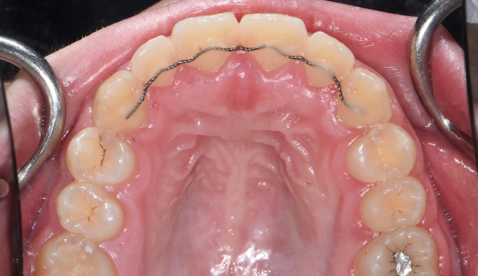
Before

After

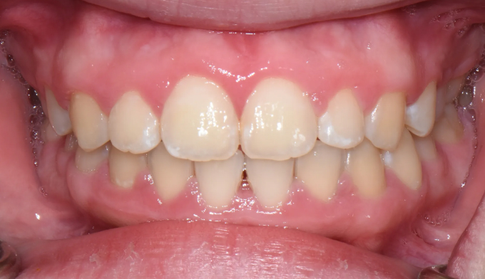
Before

After

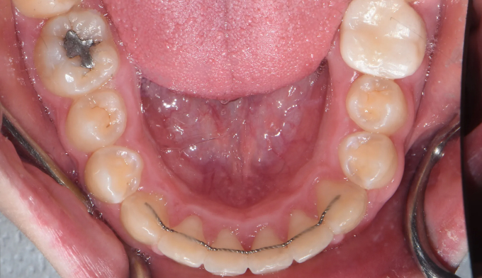
Before

After

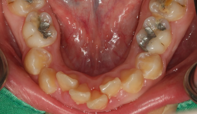
Before

After

Before

After

앞니가 돌출되어있고, 특히 전반적으로 양치질이 부족하여 잇몸이 모두 부어있는 상태입니다.

치아들의 배열이 고르지 못한 상태에서는 양치질이 더욱 어려워지므로 구강위생상태에 더 신경을 써야 합니다.


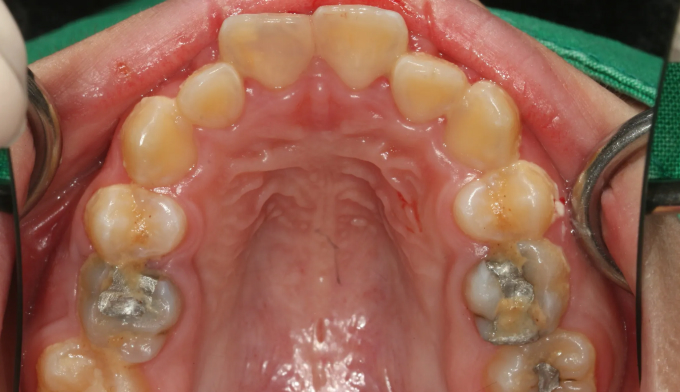
발치없이 윗니를 전체적으로 후방이동시켜서 돌출입을 해소하였고, 가지런하지 못한 치열을 모두 배열하였습니다.