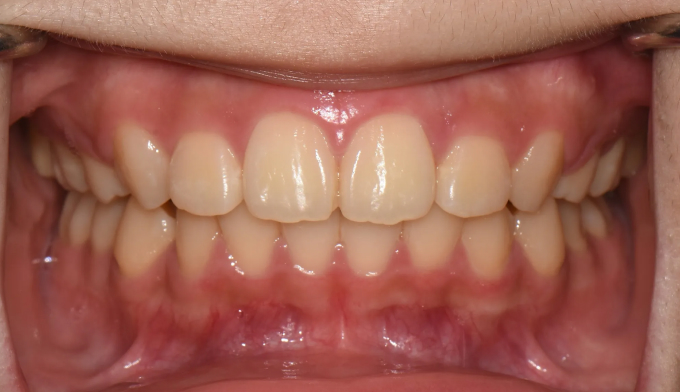
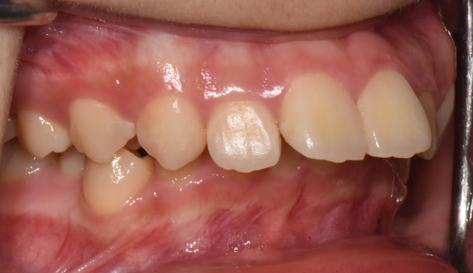
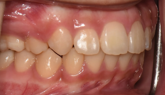
돌출입
10대
2025.02.11
돌출입
10대
본문
윗니가 돌출되어 있으면 심미적인 이유 뿐만이 아니라, 발음에도 영향을 끼칠 수 있고, 넘어졌을 때 외상을 입을 가능성도 높아집니다.
치아교정을 통해 입의 돌출을 해소하고, 앞니의 각도를 정상으로 재형성 시켜 심미적으로 좋아보이게 할 수 있습니다. 특히, 사춘기에 접어든 중,고등학생들의 사회성 발달에도 중요합니다.
편악발치를 통하여 윗니를 이동시켰고, 총 치료기간은 19개월 소요되었습니다.





