어금니공간
20대
2025.02.11
어금니공간
20대
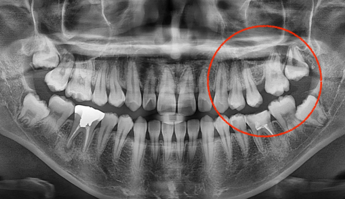
본문
어금니가 선천적으로 없는 경우, 어금니 사이에 공간이 유지된 채 악골의 성장이 완료됩니다. 벌어진 어금니 공간은 음식물이 잘 끼게 되므로, 충치가 생길 수 있는 가능성이 높아지고 냄새가 나기도 합니다.
이때, 이러한 공간을 벌려서 임플란트를 식립하는 방법이 우선적으로 고려됩니다. 하지만 후방에 사랑니가 위치한 경우, 임플란트 대신 사랑니를 당겨서 쓰게 되면 내 치아를 살리면서 동시에 임플란트라는 인공 구조물을 식립하지 않아도 되기 때문에 교정치료가 훨씬 효율적인 치료가 됩니다.
교정기간은 8개얼 소요되었고, 안적적으로 유지하기 위해 일정기간동안의 유지장치 착용이 필수입니다.



