과개교합,
덧니,
거미스마일
20대
2025.02.11
과개교합,
덧니,
거미스마일
20대
본문
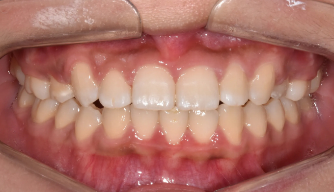
윗니가 아랫니를 많이 덮는 과개교합과 더불어 잇몸이 많이 보이는 거미스마일 환자입니다.
약간의 돌출감도 보이고 있습니다.
윗니만 양쪽 작은어금니 발치를 통해 문제점들을 해결하기로 합니다.
교정치료는 23개월 소요되었습니다.
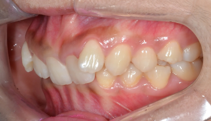
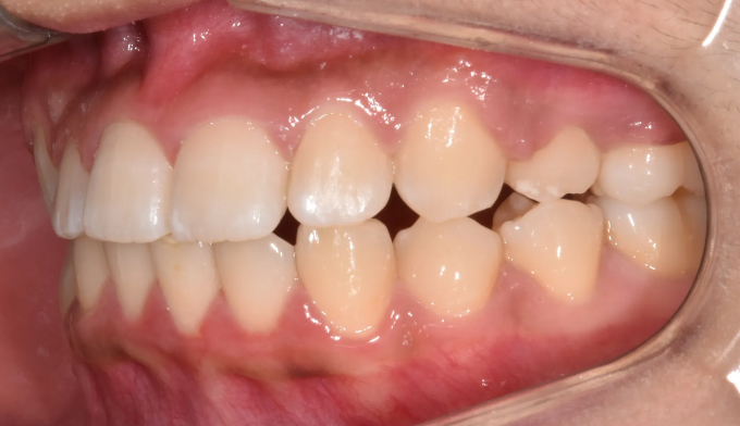
아래 앞니가 선천적으로 하나 없는 경우여서 위아래 가운데선을 맞추지 않고 좌우대칭에 더 신경쓰기로 하였습니다. 위아래 치아 갯수에 차이가 나기 때문에 어쩔 수 없이 어금니 부근의 교합이 완벽하지 못하게 종료될것으로 보였지만 환자 스스로 불편감을 느끼지 못하기 때문에 심미적인면에 더 집중하기로 하고 종료하였습니다.
교합과 심미에 정답은 없습니다.
교합으로인해 불편감을 느끼지 않는다면 환자 스스로의 만족감이 교정치료의 최우선 목표입니다.





