덧니
10대
2025.02.11
덧니
10대
본문
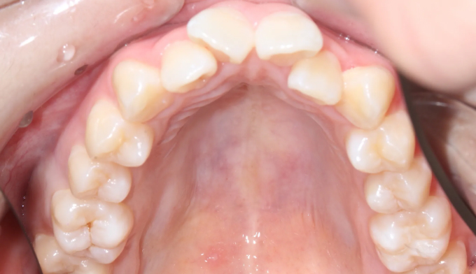
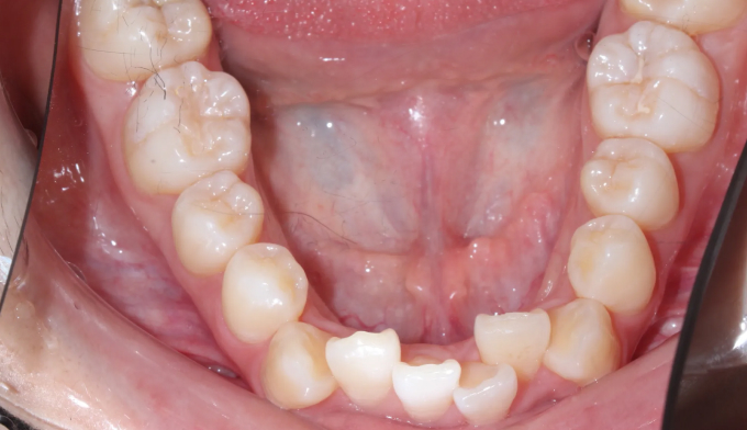
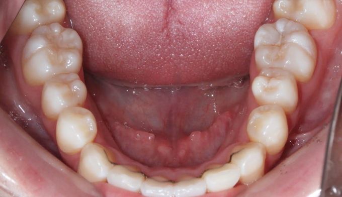
덧니가 생길정도로 공간이 부족한 경우, 발치교정이 대표적인 방법 중 하나입니다.
하지만 그 필요한 공간의 정도와 안모를 종합적으로 고려하였을때, 비발치로도 충분히 가능한 경우가 많습니다.
이번 케이스도 필요한 공간이 많긴 하지만, 입의 보양이나 각도를 고려하였을 때 비발치로 교정 가능한 경우라 판단되어 발치없이 성공적으로 치아를 배열하였습니다.
총 교정기간은 15개월입니다.





