매복치
소아
2025.02.11
매복치
소아
본문
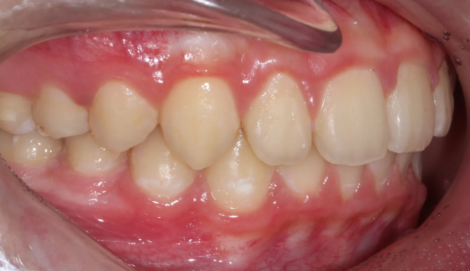
양쪽 송곳니는 일반적으로 같은 시기에 구강내로 맹출합니다.
한쪽 치아만 나오고 다른한쪽은 나오지 않는다면 먼가 문제가 생겼음을 의심해봐야 합니다.
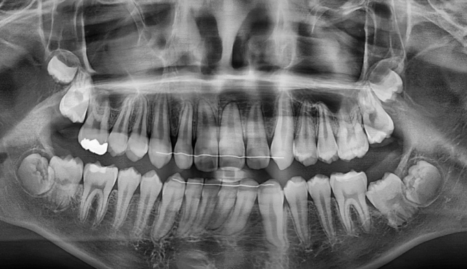
본 케이스에서는 위쪽과 아래쪽 송곳니 모두 치아 머리 주변으로 작은 물혹이 감싸고 있어 스스로 구강내로 나오지 못하고 있었습니다.
간단히 해당 위치를 절개 후 물혹을 제거해주고 치아를 제 위치로 이동시켰습니다.
총 교정기간은 13개월입니다.



