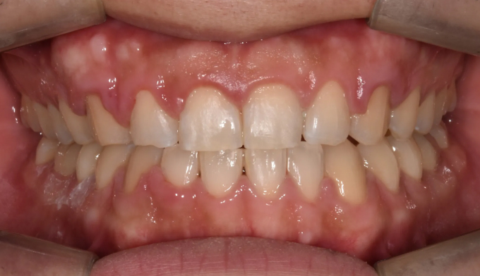
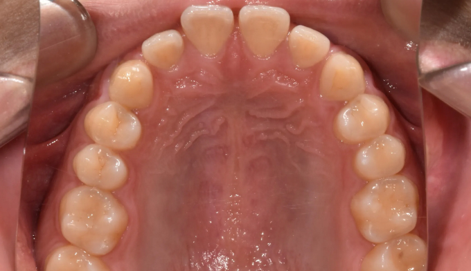
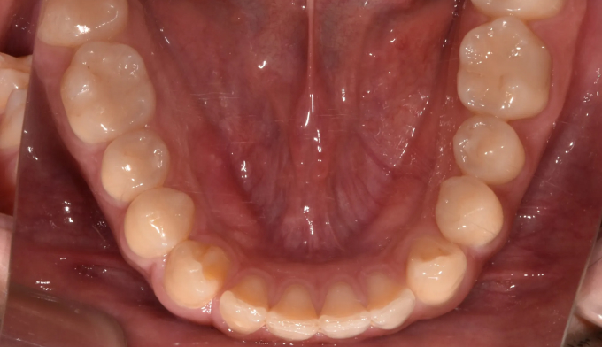
앞니공간
30대
2025.02.11
앞니공간
30대
본문
치아의 크기는 평균적이지만 위턱과 아래턱의 악골이 넓은 경우, 치아와 악궁 크기 부조화로 앞니가 벌어지는 경우가 있습니다. 이때 레진이나 라미네이트와 같은 보철치료가 선택되어질 수 있지만 치아교정을 통한다면 보다 보존적이고 안정적으로 앞니 사이 공간을 메울 수 있습니다. 교정기간은 7개월이 소요되었습니다.





