덧니
20대
2025.02.11
덧니
20대
본문
필요한 공간이 많지 않아도, 입이 많이 나오지 않아도 발치교정을 해야하는 경우들이 종종 있습니다.
비발치교정시 주로 악궁확장이나 치아삭제, 또는 치아 후방이동을 통해 공간을 확보하는데 기존의 악궁이 충분히 넓거나 치아크기가 작은경우, 또는 사랑니가 너무 깊숙히 있어서 발치하기 어려운 경우에는 어쩔 수 없이 작은어금니 발치를 통해 공간을 확보합니다.
교정기간은 총 22개월입니다.
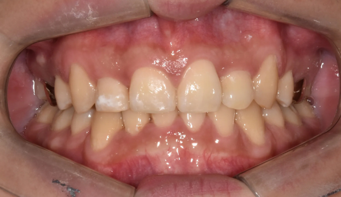
앞니의 길이가 좌우 다르게 보이는 이유는 기존 잇몸의 길이 차이 때문입니다. 이는 잇몸 성형을 통해 개선 가능합니다만 해당 환자처럼 원치 않은 경우에는 안해도 큰 문제는 없습니다.







