과개교합,
앞니벌어짐,
재교정
20대
2025.02.11
과개교합,
앞니벌어짐,
재교정
20대
본문
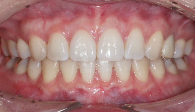
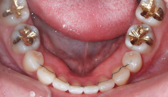
전에 교정치료를 마무리하고 지내던 중 치아 안쪽에 붙여놓은 유지장치가 떨어지면서 관리를 못하게 된 경우입니다. 이런 경우 앞니가 다시 틀어지거나 벌어질 수 있습니다.
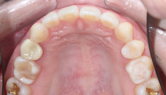
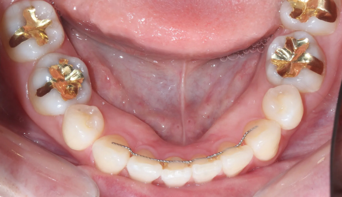
위 유지장치는 모두 제거되어보이고, 아래 유지장치 또한 양 끝이 끊어져서 치아사이가 벌어져 보입니다.
서비스직에서 일하고 있어 치아 안쪽으로 붙이는 설측교정을 원하였고, 9개월만에 교정치료 종료 하였습니다.
유지장치가 떨어지면서 벌어진 치아들과 깊어진 앞니들을 이상적인 위치로 배열시켰습니다.





