돌출입
20대
2025.02.24
돌출입
20대
본문
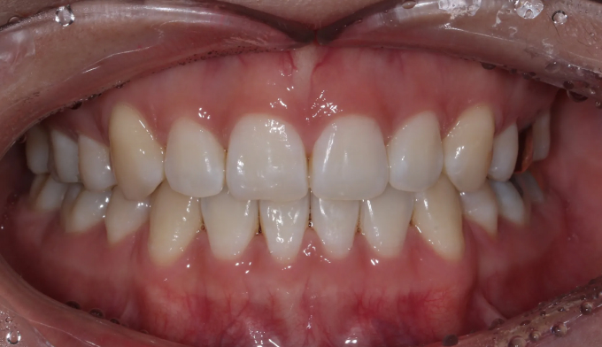
돌출입을 가지고 있는 분들은 입을 자연스럽게 다물기가 힘들어 입 주변에 힘을 주는 모습이 많이 관찰됩니다.
치아교정을 통하여 이러한 부자연스러운 미소를 아름답고 바른 미소로 바꿀 수 있습니다.
입이 들어감과 동시에 코가 높아져 보이는것도 부가적인 장점 중 하나입니다.
교정기간은 21개월입니다.





