덧니
20대
2025.02.24
덧니
20대
본문
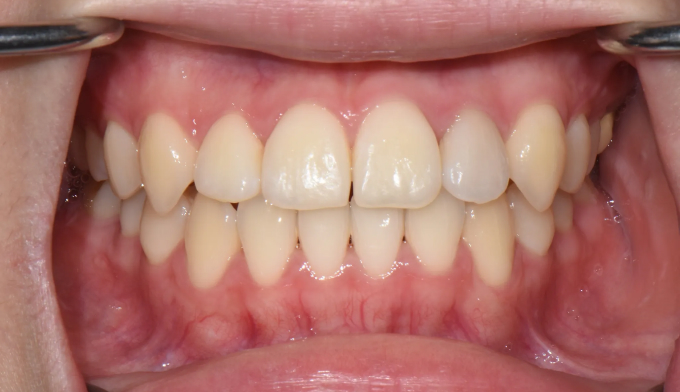
덧니가 심한 케이스 입니다. 발치를 하지 않고는 도저히 공간을 마련하기 힘들어 보입니다.
하지만 환자분의 입술이 얇고 입이 들어간 안모를 가지고 있어 섣불리 발치교정을 진행하였다가는 어색한 옆얼굴을 가지게 될 가능성이 높아집니다. 입술이 더 얇아지면서 더 나이들어보일 가능성도 높아집니다.
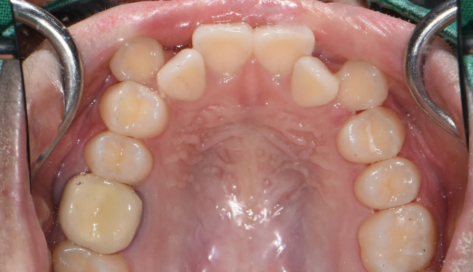
최대한 좁은 악궁을 확장하고 부족하면 전체 치열의 후방이동을 통하여 덧니를 배열할 공간을 만들었습니다.
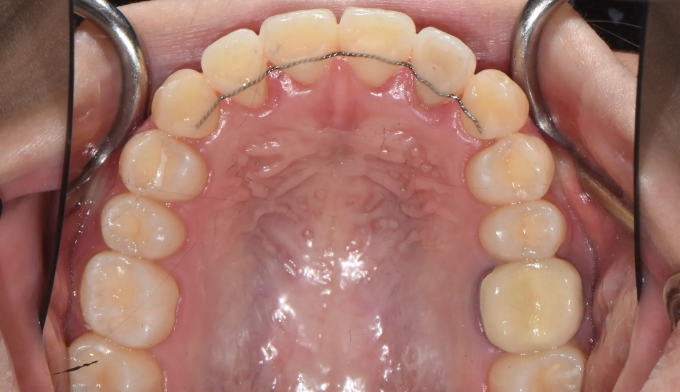
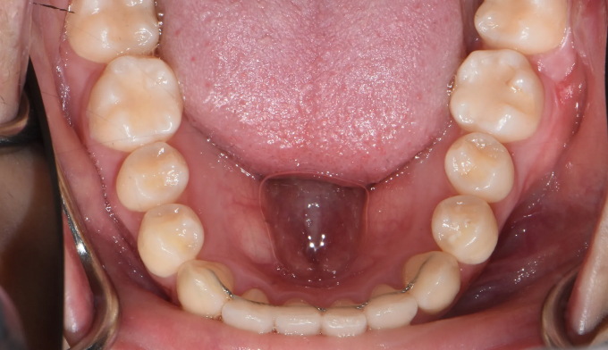
총 치료기간은 25개월 입니다.
입술의 두께나 입매의 변화 없이 치열만 고르게 배열하였습니다.
치열과 안모를 동시에 고려한 교정치료가 꼭 필요합니다.







