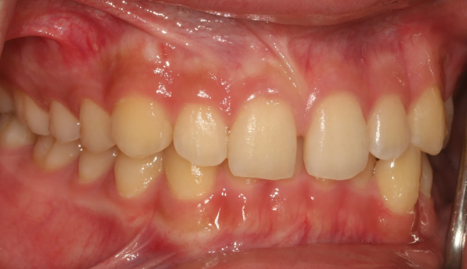
과개교합,
치아사이공간
10대
2025.02.24
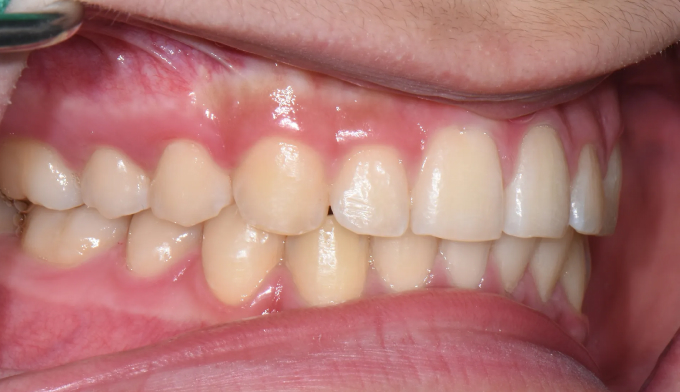
과개교합,
치아사이공간
10대
본문





