어금니공간
40대
2025.02.11
어금니공간
40대
본문
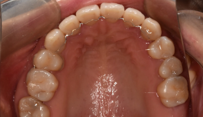
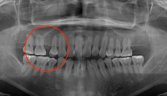
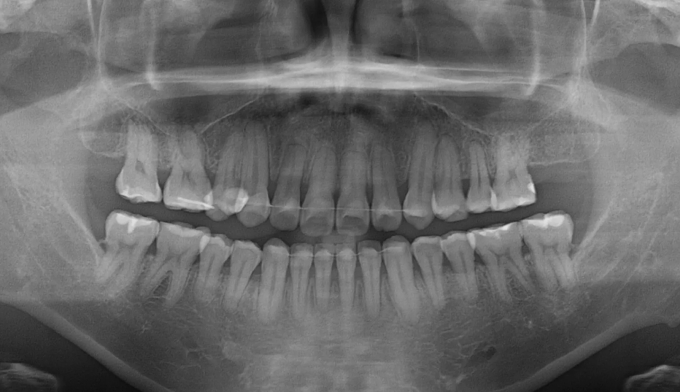
어금니가 상실된 경우, 보통 해당공간에 임플란트를 식립합니다. 하지만 보철치료에 대한 거부감이 있거나, 그 폭이 애매하게 좁은 경우, 교정치료를 통해 공간을 닫는것이 효과적인 경우가 많습니다.
해당 케이스에서는 반대쪽 어금니도 없었기 때문에 짝을 맞추기 위하여 임플란트 식립 대신 해당 공간을 교정치료를 통해 닫기로 하였습니다.
9개월만에 2개의 어금니를 전방으로 이동시켜 아래 어금니와 안정적인 교합을 형성하였습니다. 임플란트 없이 본인의 치아로 불편함없이 지낼 수 있게 되었습니다.



