돌출입,
개방교합
20대
2025.02.11
돌출입,
개방교합
20대
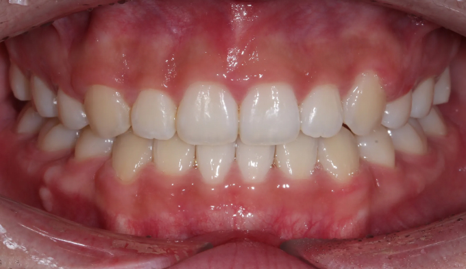
본문
돌출입을 해소하는 과정에서 자연스럽게 앞니가 벌어져있는 개방교합은 닫힙니다. 이러한 교정방법에는 교정과 전문의의 기본적인 실력이 뒷받침되어야 합니다.
치아교정을 통해 보다 아름답고 바른 미소를 가지게 될 수 있습니다.
교정기간은 19개월입니다.









