치아사이공간
10대
2025.02.11
치아사이공간
10대
본문
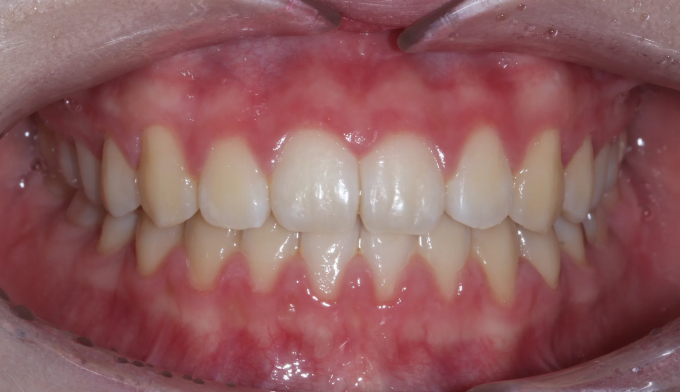
치아사이, 특히 앞니 사이에 공간이 있는 경우 발음이 샐 수 있고 보기에도 좋지 않습니다.
음식물이 끼는 빈도도 높으며, 양치하기에도 힘이 들 수 있어 교정치료를 통해 개선하는것이 좋습니다.
위처럼 치아 사이공간이 벌어져 있는 경우에는 이러한 공간을 이용하여 치열도 후방으로 이동시킬 수 있어서 안모의 변화까지 가능합니다.
치아가 벌어져 있는데 입도 나와 있는 경우라면 일석이조의 효과를 볼 수 있습니다.
총 치료기간은 10개월 소요되었습니다.



