개방교합
20대
2025.02.24
개방교합
20대
본문
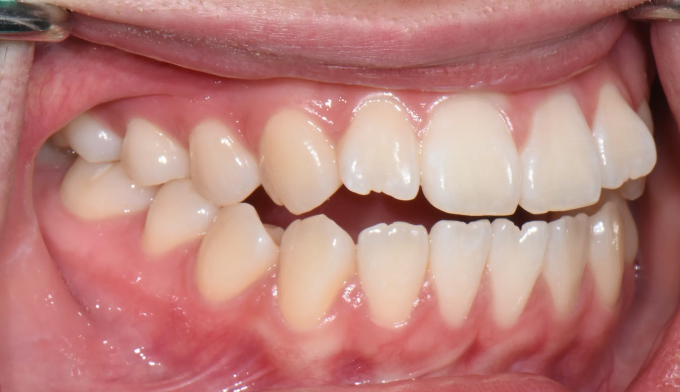
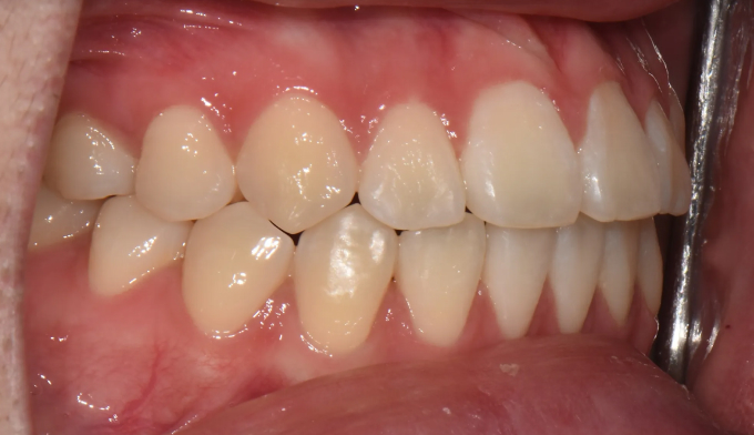
개방교합은 심미적으로도 문제가 있을 수 있지만, 발음에 영향을 주기도 하고 입을 벌리고 호흡하는 구호흡으로 인해 구강위생상태에도 좋지 않은 영향을 줍니다.
개방교합을 치료하는 방법은 어금니를 위아래로 올려서 앞니를 닫는방법과 반대로 앞니를 위아래로 내려서 앞니 공간을 닫는 방법이 있으며, 환자분의 얼굴 길이나 턱의 위치, 그리고 입술의 두께나 돌출정도를 보고 치료방법을 결정합니다.
본 케이스에서는 양쪽 어금니를 교정용 미니스크류를 이용하여 압하시키는 방법으로 개방교합을 해결하였습니다.
총 치료기간은 16개월입니다.



