덧니
10대
2025.02.24
덧니
10대
본문
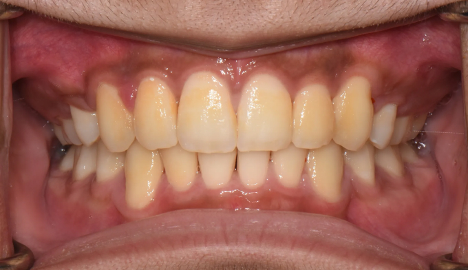
덧니가 심한 학생들, 특히 중,고등학생들을 보면 안타까울때가 종종 있습니다.
조금 더 이른나이에 교정을 시작하였더라면 무리하게 발치하지 않고도 충분히 치아를 가지런하게 할 수 있었을 텐데 라는 생각을 지울수가 없습니다.
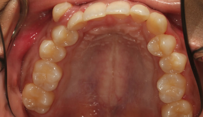
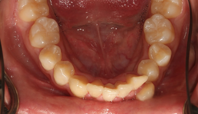
이번 케이스도 뒤늦게 송곳니가 덧니로 나오는것을 확인하고 치아교정을 하고자 내원한 중학생입니다.
부족한 공간이 꽤 많고, 입도 돌출되어 보여서 어쩔수 없이 발치교정을 계획하였습니다.
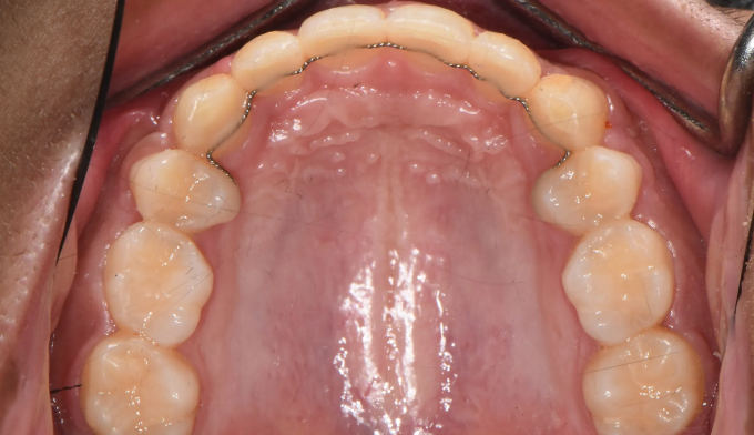
총 치료기간은 23개월입니다.





