앞니불규칙,
과개교합
40대
2025.02.24
앞니불규칙,
과개교합
40대
본문
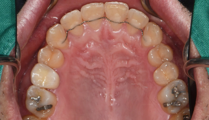
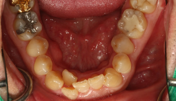
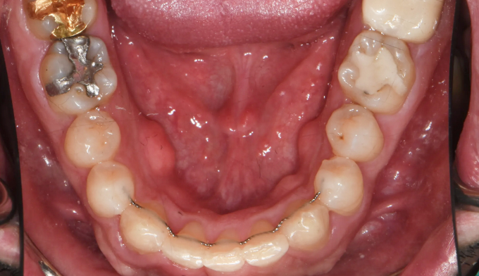
앞니에 치아를 배열할 공간이 부족해 보입니다. 또한 과도한 교합력으로 인해 아래 앞니가 거의 안보이는 과개교합이 관찰되며, 해당 부위의 뼈도 웃자라 있는 골융기가 관찰됩니다.
턱근육의 과활성은 교정치료를 어렵게 만드는 요인 중 하나입니다. 최대한 미소선에 맞추어 앞니를 배열하고 과개교합도 개선하였습니다. 턱근육의 이완을 돕고자 보톡스 치료도 동반하였습니다.
위 앞니 잇몸선의 비대칭도 관찰되어 잇몸절제술도 권유드렸으나 현재 상태에 만족하셔서 교정치료를 8개월만에 종료하였습니다.
길지 않은 기간이지만 한사람의 인상을 바꿀 수 있습니다.







