주걱턱,
다수충치
20대
2025.02.24
주걱턱,
다수충치
20대
본문
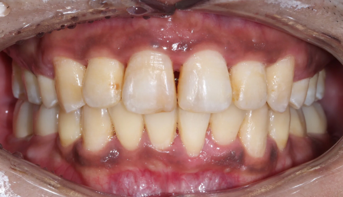
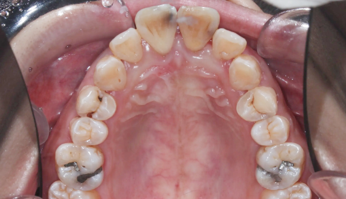
뻐드러진 앞니로 인한 돌출입과, 구강위생관리 부족으로 인한 다수의 충치가 관찰된 케이스입니다.
교정시작 전 충치가 많은 분들은 교정치료과정에서 더 많은 충치가 생길 가능성이 매우 높기 때문에 먼저 양치질교육을 비롯한 전반적인 구강위생교육이 이루어져야 합니다. 그리고 급한 충치를 먼저 치료하고 교정치료에 들어갑니다.
충치가 진행된 부분이 워낙 광범위하고 많아, 무리해서 치아를 전부 치료하지 않았습니다. 최소한으로 치료하고 지켜보기로 하였습니다.
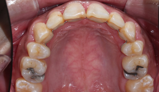
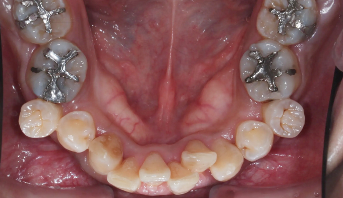
교정치료는 24개월 소요되었으며, 뻐드러진 앞니로 인해 다물기 어려웠던 입술도 이제는 편하게 다물 수 있게 되었습니다.













