간편 회원가입

간편 회원가입을 하시면 리얼한 치료 전후사진을 확인하실 수 있으며 브라우저 창을 닫으면 자동으로 회원탈퇴 처리됩니다.

간편 회원가입

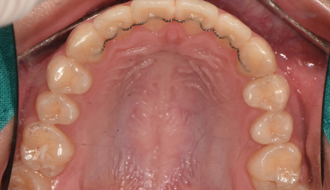
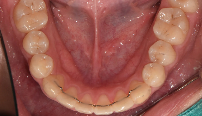
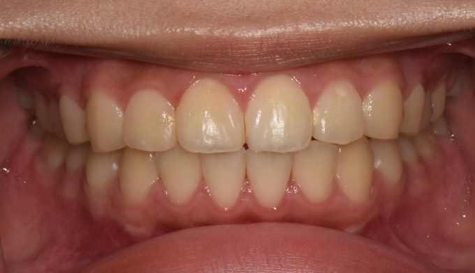
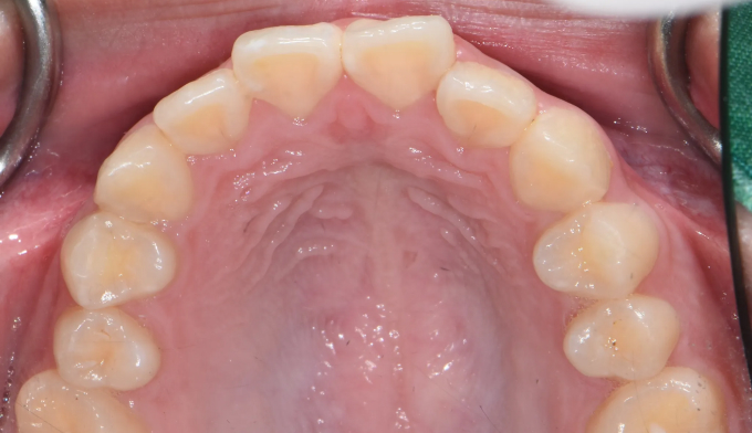
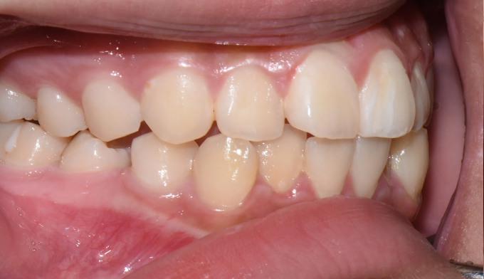
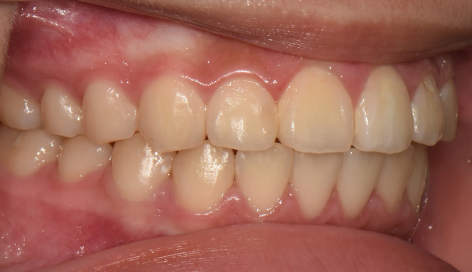
앞니불규칙
20대
2025.02.24

본문

Before

After

Before

After

Before

After

Before

After

.