덧니
10대
2025.02.24
덧니
10대
본문
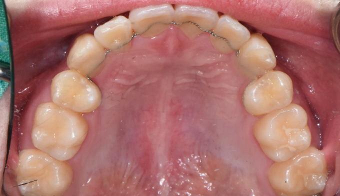
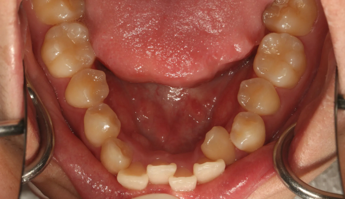
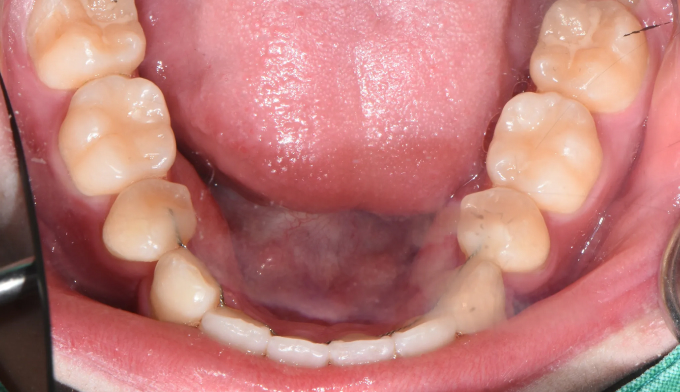
이가 배열될 공간이 부족해서 삐뚤빼뚤하게 나왔습니다.
돌출형인 얼굴을 고려하여도 어차피 발치교정이 필요할것 같아서 성인이 된 이후에 치료할것을 권유하였습니다.
하지만 본인 스스로가 고르지 못한 앞니에 컴플렉스를 가지고 있었고, 어차피 교정할거면 빨리 진행하길 원했습니다.
가지런한 앞니는 성장중인 학생들에게 큰 자신감을 줍니다.
총 치료기간은 19개월 입니다.





