주걱턱,
반대교합
소아
2025.02.24
주걱턱,
반대교합
소아
본문
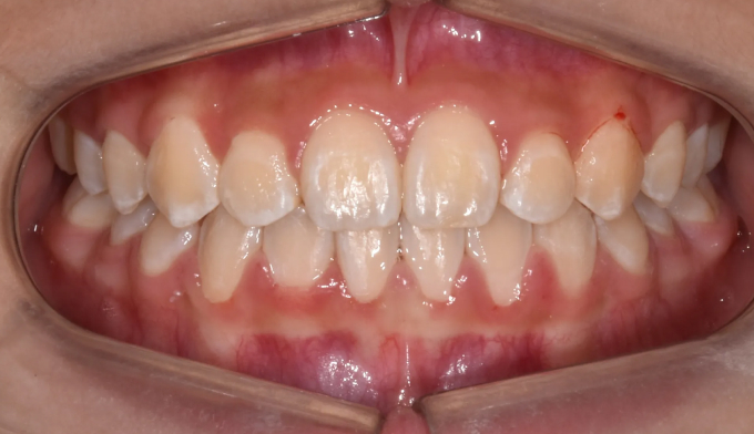
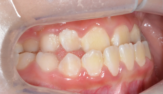
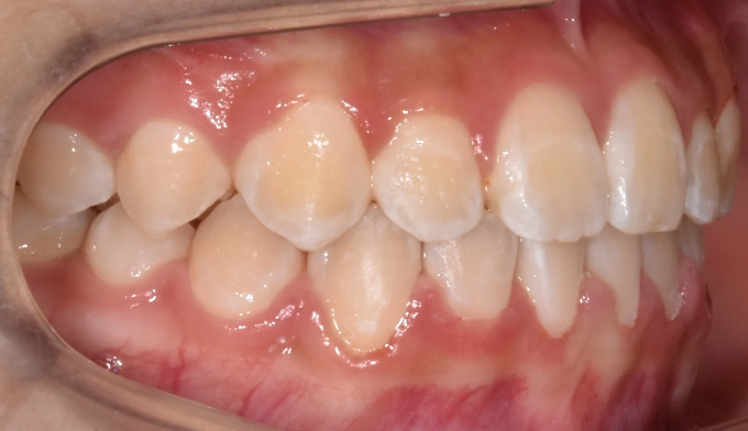
반대교합과 함께 안모 엑스레이 분석시 주걱턱 경향이 심하여 성장교정을 진행했습니다.
페이스마스크치료와 상악확장치료를 병행하여 부족한 상악의 성장을 유도하였습니다.
초등학교 6학년때 교정을 마무리하였습니다.
긴 기간이 걸리는 치료인만큼 구강위생관리에 더 신경을 써야 합니다.





