앞니덧니
20대
2025.02.24
앞니덧니
20대
본문
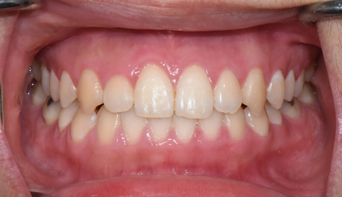
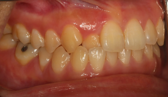
치열이 전반적으로 고르고 교합도 좋지만 치아 하나만 거꾸로 물리는 덧니의 경우, 간단하게 해당치아만 보철치료로 개선이 가능합니다. 하지만 어린 나이를 고려하였을 때, 치아를 삭제하여 인공치아를 씌운다는것이 아깝게 느껴집니다. 따라서 교정치료를 통하여 해당치아만 간단히 앞으로 내보내는 교정치료가 가능합니다.
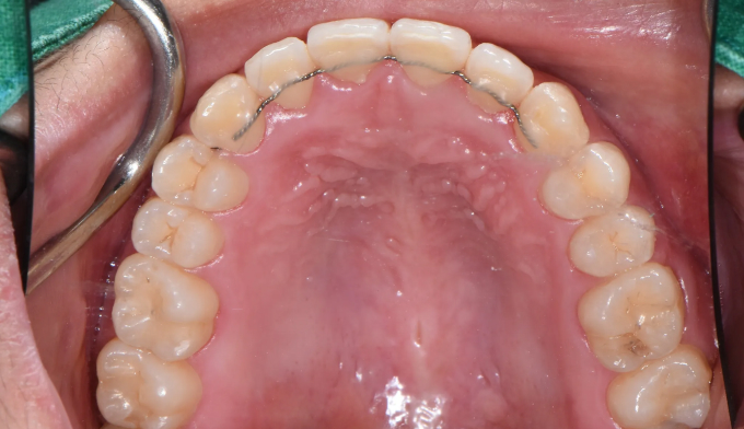
교정기간은 8개월 소요되었습니다.





