돌출입
20대
2025.02.24
돌출입
20대
본문
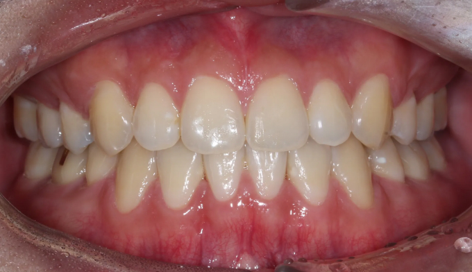
이 환자분은 처음 만났을 때 돌출입의 느낌이 별로 없었습니다.
하지만 환자 본인이 이에대한 개선을 원하고 있었기에 돌출입교정을 진행하게 되었습니다.
교정기간은 19개월입니다.
교정 전에도 크게 나쁘지는 않았지만 교정 이후에 더 자연스럽고 아름다운 입매와 미소를 가지게 되었습니다.
교정에 정답은 없습니다.
심미적인 기준은 모든 사람들이 다르기 때문에 그에 맞는 목표를 찾아가는 여정이 모두 제각각입니다.
이 과정중에 환자와 의사가 잘 소통하여야 서로 만족하는 결과에 이를 수 있습니다.









