간편 회원가입

간편 회원가입을 하시면 리얼한 치료 전후사진을 확인하실 수 있으며 브라우저 창을 닫으면 자동으로 회원탈퇴 처리됩니다.

간편 회원가입

과개교합
20대
2025.02.24

본문

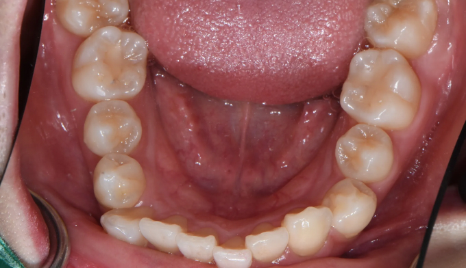
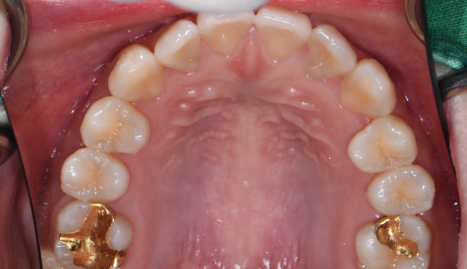
Before

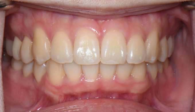
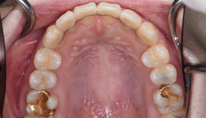
After

Before

After

Before

After

윗니는 아랫니를 약 2mm 내외로 덮는것이 심미적으로, 그리고 기능적으로 제일 이상적입니다. 하지만 여러 요인으로 인해 윗니가 아랫니를 절반이상 덮는 경우를 과개교합이라고 부릅니다.

과개교합은 윗니에 무리한 힘이 가해지게 될 수 있고, 앞니의 마모 속도 또한 빨라질 수 있으며 이는 턱관절 문제까지 이어질 수 있습니다.

총 교정기간은 19개월입니다.