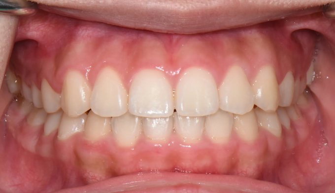
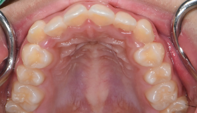
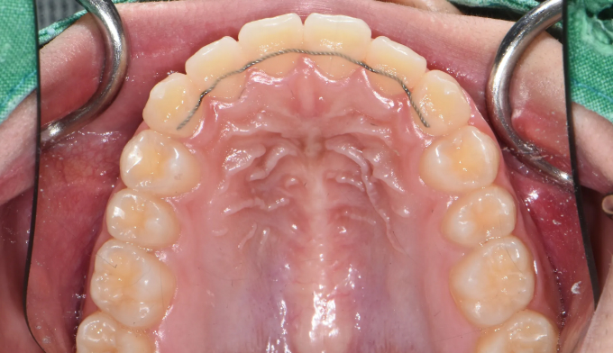
덧니
10대
2025.02.24
덧니
10대
본문
심하지 않은 덧니의 경우에는 교정기간이 비교적 짧습니다.
확장장치와 같은 부가적인 교정장치가 필요없기 때문에 교정기간이 단축될 수 있습니다.
그리고 이 모든것은 아직 성장중인 학생이기에 가능한 일입니다.
총 교정기간은 13개월입니다.



