덧니,
재교정
10대
2025.02.24
덧니,
재교정
10대
본문
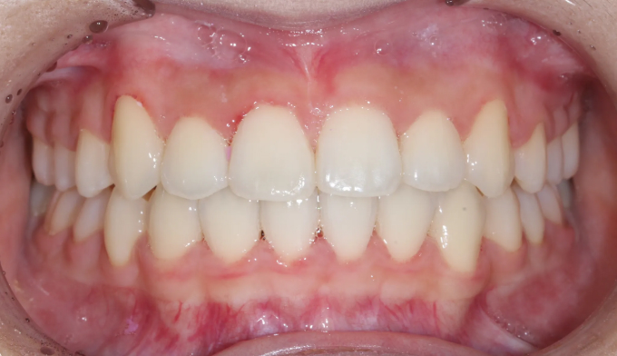
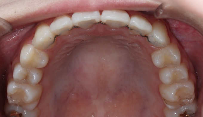
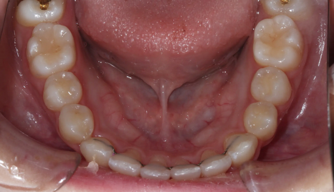
매우 어린나이에 1차교정을 진행했다고 합니다.
1차교정을 한다고 2차교정을 안하게 되지는 않습니다. 오히려 잘못된 1차교정, 성장교정은 2차교정을 더 어렵게 만들기도 합니다.
이번 케이스에서는 덧니가 심하고 공간이 매우 부족하지만, 입의 크기가 작고 입술이 얇은 편이었기 때문에 발치 없이 교정하기로 계획하였습니다.
입천장 확장과 치아배열을 통하여 총 18개월동안 치료하였습니다.









