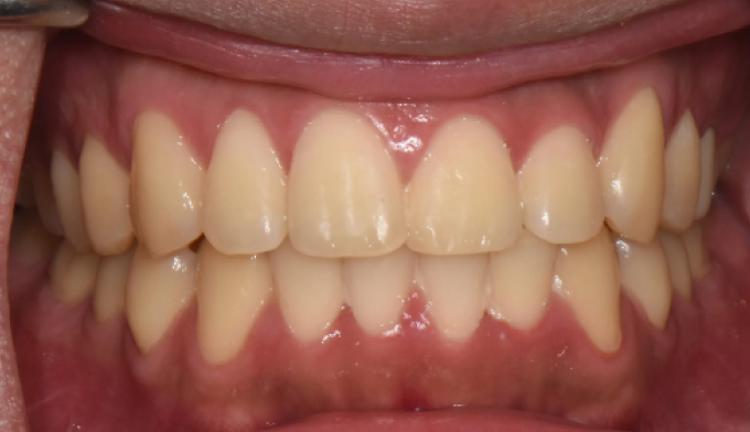
앞니불규칙
20대
2025.02.24
앞니불규칙
20대
본문
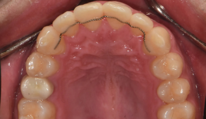
앞니를 배열하는데 있어서 필요한 공간이 많지 않은 경우, 전체교정 없이 앞니만 부분적으로 교정하는 방법을 통하여 쉽고 빠르게 치열을 가지런하게 할 수 있습니다. 멀쩡한 앞니를 삭제하고 씌우는 크라운이나 라미네이트 치료를 하지 않아도 됩니다.
교정기간은 7개월 소요되었습니다.





