주걱턱,
반대교합
30대
2025.02.24
주걱턱,
반대교합
30대
본문
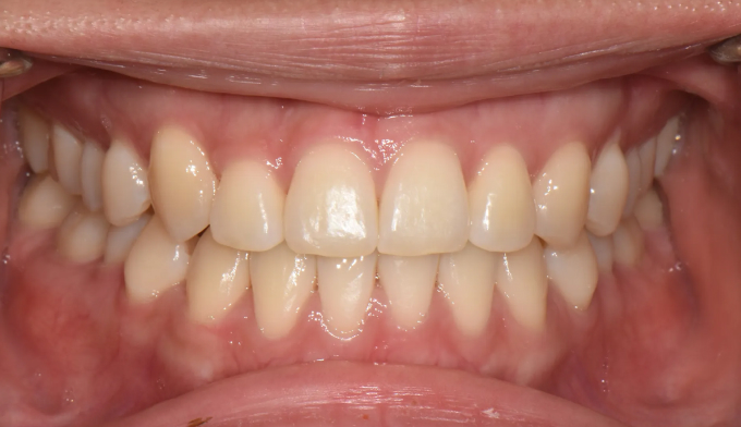
성인에서의 주걱턱은 흔히들 교정치료로 개선 불가능하다고 알고 있습니다. 주걱턱을 해소하기 위해서는 양악수술만이 답이라고 생각합니다.
턱의 성장이 과도하여 안모의 개선이 필요한 경우, 또는 치아가 이동해야할 양이 교정치료로 가능한 양보다 너무 큰 경우를 제외하고 대부분의 주걱턱 또는 반대교합은 교정치료로 해결이 가능합니다.
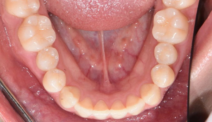
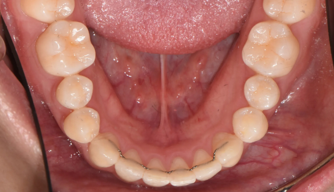
주걱턱이라고 하여 내원하신분들 대부분 위턱과 아래턱의 비율은 정상이지만 앞니만 반대로 물리는 반대교합의 경우가 많습니다. 어렵지않게 앞니를 배열하여 보다 더 매력적인 미소를 갖는 얼굴을 만들어줄 수 있습니다,
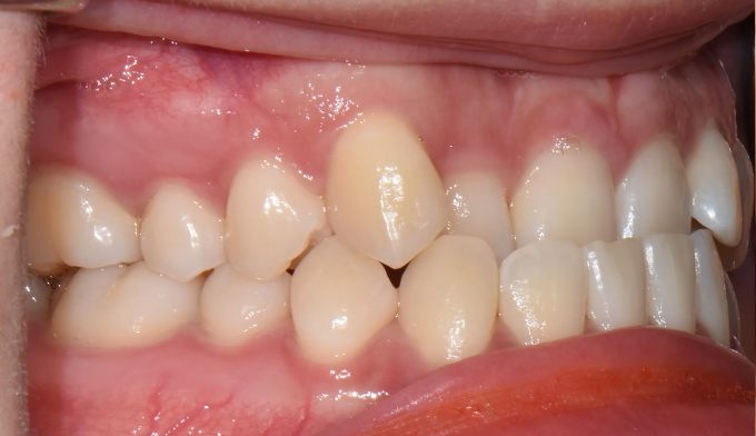
총 치료기간은 15개월 소요되었습니다.
거꾸로 물려있던 앞니를 앞으로 보내면서, 아래치열은 사랑니발치 후 미니스크류를 이용하여 후방이동시켰습니다.









