매복치
10대
2025.02.24
매복치
10대
본문
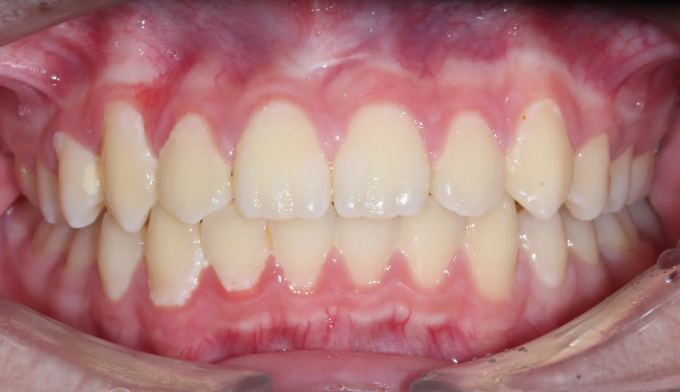
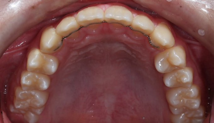
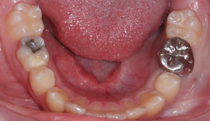
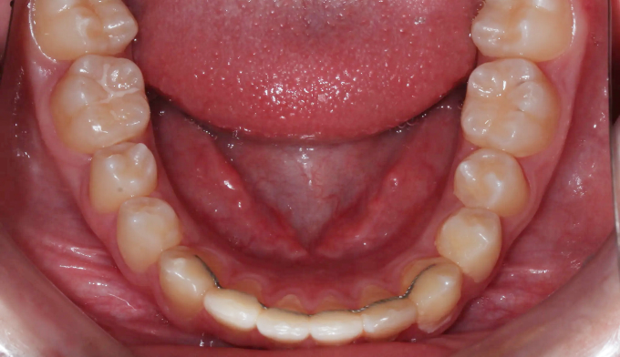
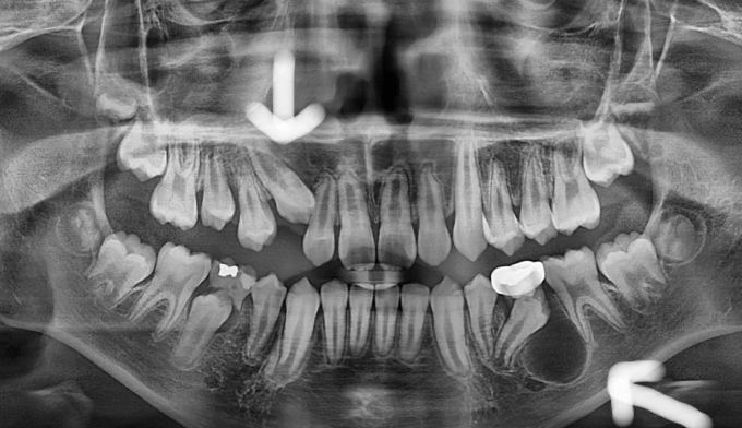
유치가 빠지고 영구치가 맹출할때는 일반적으로 왼쪽,오른쪽이 대칭적으로 함께 진행됩니다.
따라서 한쪽 영구치가 나오고 있는데도 다른 한쪽이 6개월이상 나오지 않는다면 치과에 내원하여 검사를 해보는것이 좋습니다. 영구치는 맹출중에 여러 이유로 맹출되지 않는 경우가 많습니다.
이번 케이스에서는 위쪽 송곳니의 맹출경로이상, 아래쪽 작은어금니는 작은 물혹으로 인해 맹출 경로에 문제가 생겨 교정을 진행한 경우입니다.
물혹을 제거하고 치아 교정장치를 부착하여 간단히 배열하였습니다.
총 교정기간은 11개월 입니다.







