돌출입,
덧니
20대
2025.02.24
돌출입,
덧니
20대
본문
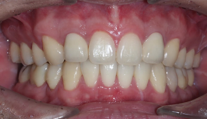
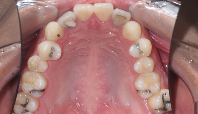
돌출감과 가지런하지 못한 앞니, 그리고 어금니의 교합이 좋지 않은 경우입니다.
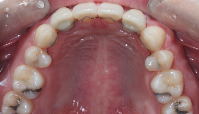
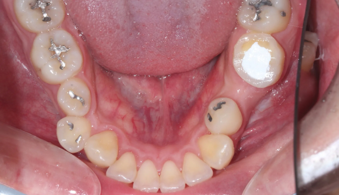
좌측 아래 작은어금니가 빠진이 오래되었기 때문에, 균형을 맞추기 위해 반대편 작은어금니를 발치하여 돌출감을 해소해주었습니다. 나왔던 입이 들어가면서 턱 라인이 개선되었고, 입을 다물때도 보다 더 편안하게 되었습니다.
교정전부터 변색되어있던 양쪽 앞니는 미백과 보철치료를 동반하여 교정종료 후 개선하였습니다.
총 교정치료는 22개월입니다.











