간편 회원가입
간편 회원가입을 하시면 리얼한 치료 전후사진을 확인하실 수 있으며 브라우저 창을 닫으면 자동으로 회원탈퇴 처리됩니다.
위 내용에 동의합니다.
간편 회원가입
증상별 증례
ortho diary
DOCTOR
의료진 약력
BRAND
Dr.송병재
공간가치
장비소개
주요진료
공유플랫폼
추천사
CASE
증상별 증례
COMMUNITY
공지사항
원장칼럼
주의사항
송병재미디어
RESERVATION
온라인상담
네이버예약
CASE
case studies by symptoms
증상별 증례
증상별 증례
전체보기
턱과 얼굴을 빛어나가는 성장교정
1차교정
view
청소년의 자신감을 완성하는
중·고생 2차교정
view
턱과 얼굴을 예뻐보이는 각도로 넣어주는
비발치교정
view
수술 없이도 변화되는 얼굴
성인 비수술교정
view
내 치아 그대로 오래쓸 수 있는
성인 비보철교정
view
Total 120건
4 페이지
게시판 검색
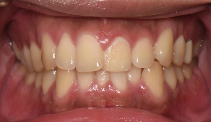
로그인 후 확인 하실 수 있습니다.
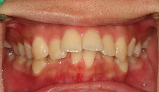
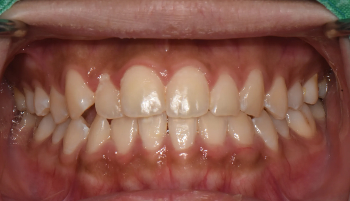
앞니불규칙,
재교정
30대
2025.02.24
로그인 후 확인 하실 수 있습니다.
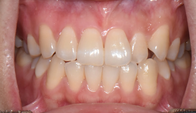
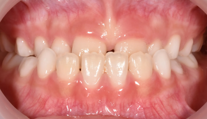
돌출입,
과개교합
20대
2025.02.24
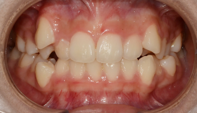
로그인 후 확인 하실 수 있습니다.
덧니
40대
2025.02.24
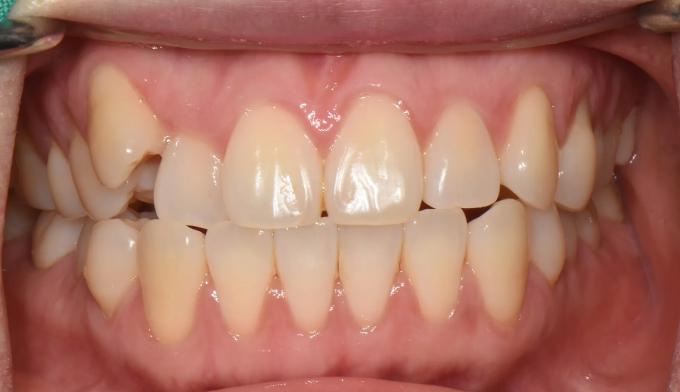
로그인 후 확인 하실 수 있습니다.
덧니,
재교정
10대
2025.02.24
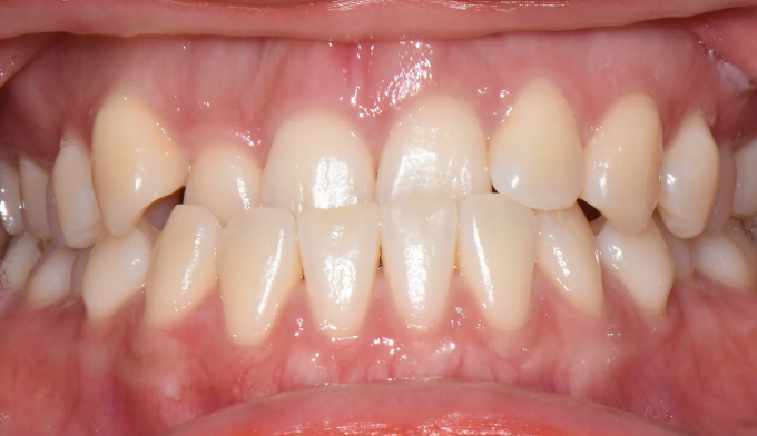
로그인 후 확인 하실 수 있습니다.
반대교합
소아
2025.02.24
로그인 후 확인 하실 수 있습니다.
앞니불규칙
20대
2025.02.24
로그인 후 확인 하실 수 있습니다.
돌출입,
주걱턱
20대
2025.02.24
로그인 후 확인 하실 수 있습니다.
주걱턱,
반대교합
30대
2025.02.24
로그인 후 확인 하실 수 있습니다.
매복치
10대
2025.02.24
로그인 후 확인 하실 수 있습니다.
반대교합
소아
2025.02.24
로그인 후 확인 하실 수 있습니다.
앞니덧니
20대
2025.02.24
로그인 후 확인 하실 수 있습니다.
돌출입,
덧니
20대
2025.02.24
처음
1
페이지
2
페이지
3
페이지
열린
4
페이지
5
페이지
6
페이지
7
페이지
8
페이지
9
페이지
10
페이지
맨끝