돌출입,
덧니
20대
2025.02.24
돌출입,
덧니
20대
본문
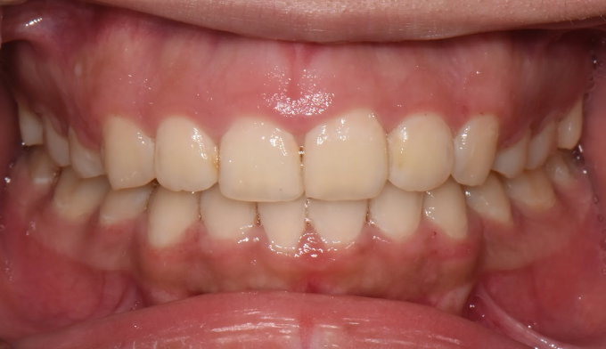
앞니가 뻐드러져서 입이 돌출된 경우, 입을 편하게 다물기가 어렵게됩니다. 평소에 신경을 안쓰거나 무언가에 집중을 하게되면 본인도 모르게 입을 벌리게 되는 경우가 생깁니다. 이런 돌출입은 뚱한 인상을 줄 수 있고 바른인상을 갖기 힘들어집니다.
뻐드러진 앞니를 집어넣고 돌출입을 간단하게 해소하는것만으로도 인상이 달라지며 매사에 자신감이 생기게 되는 경우가 많습니다. 보다 더 나은 앞날을 위해 충분히 투자할 가치가 있는 기간이라고 생각합니다.
총 교정기간은 19개월 소요되었습니다.







