간편 회원가입

간편 회원가입을 하시면 리얼한 치료 전후사진을 확인하실 수 있으며 브라우저 창을 닫으면 자동으로 회원탈퇴 처리됩니다.

간편 회원가입

매복치, 덧니
10대
2025.02.24

본문

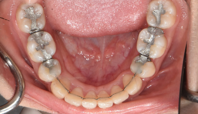
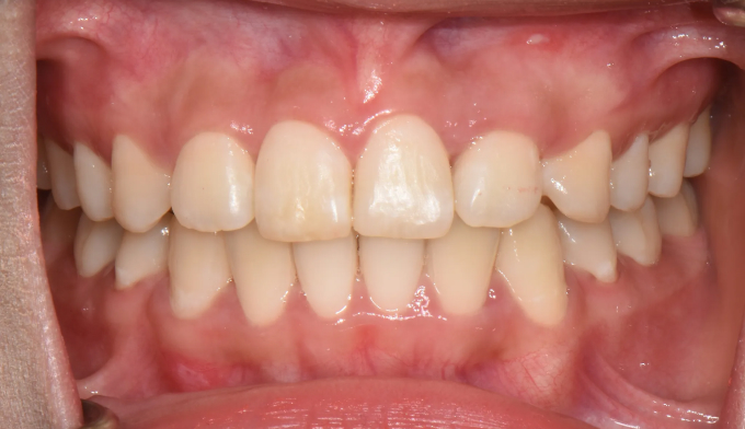
Before

After

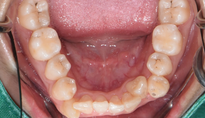
Before

After

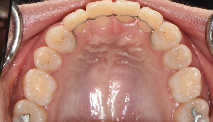
Before

After

Before

After

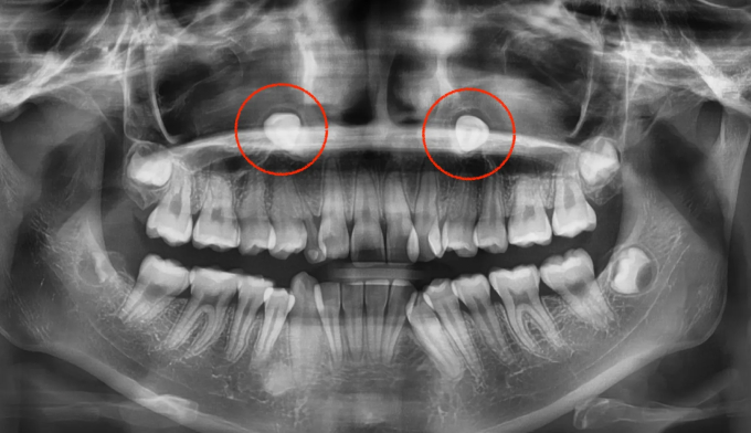
매복치의 경우 무조건 교정을 통해 구강내로 견인해야 하는건 아닙니다.

교정을 했을때의 득과 실을 살펴보는것이 중요합니다. 너무 깊숙히 묻혀있는 치아는 그냥 놔두는것이 나을때도 있습니다.

위쪽 송곳니가 엑스레이상에서도 거의 코 옆쪽으로 매복되어 있는 케이스입니다.

매복치에 접근하는것이 무리라고 판단되어 유치만 발치하고 진행하기로 하였습니다.

아래치아도 갯수를 맞춰주기위해 하나씩 발치하였습니다.