주걱턱,
반대교합
소아
2025.02.24
주걱턱,
반대교합
소아
본문
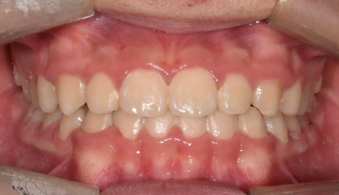
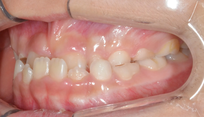
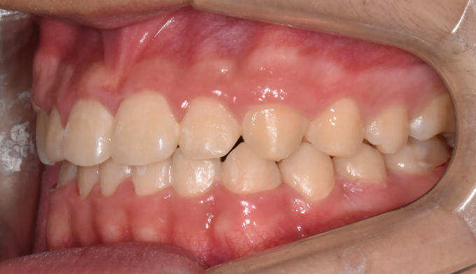
앞니가 거꾸로 물리는 반대교합의 정도가 심하며, 안모 검사상으로도 주걱턱 수치가 높게 나온 경우입니다.
위턱의 확장과 전방촉진을 실시하고 교정을 멈춘다음 성장을 관찰합니다.
중간중간 추가적인 치료가 필요한 경우 짧은 기간동안만 교정을 진행합니다.
교정 마무리는 모든 영구치아가 다 나온 초등학교 6학년때 마무리합니다.







