간편 회원가입

간편 회원가입을 하시면 리얼한 치료 전후사진을 확인하실 수 있으며 브라우저 창을 닫으면 자동으로 회원탈퇴 처리됩니다.

간편 회원가입

돌출입, 덧니
20대
2025.02.24

본문

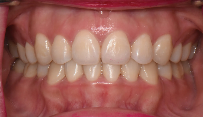
Before

After

Before

After

Before

After

미의 기준은 사람마다 모두 다릅니다.

남이 봤을때 괜찮아도 내가 돌출입이라고 생각하면 돌출입이고, 남이 돌출입이라고 생각해도 내가 괜찮으면 그건 괜찮은겁니다. 본인 얼굴은 본인 스스로가 제일 잘 아는거니까요.

검사시 여러 수치들이나 결과값들이 덧니를 제외하고는 모두 정상이었습니다. 간단히 덧니만 해결하길 제안했으나, 스스로 돌출입이라고 생각하여 입을 집어넣길 원하는 상황이었습니다. 그럼 최대한 자연스럽게 돌출입을 해소하기로 하였습니다.

치아교정의 긴 치료기간은 단점이라고 볼수도 있지만, 한편으로는 치아와 입술의 위치를 내맘대로 마음껏 조절할 수 있다는 장점이 될 수도 있습니다.

18개월 소요하여 원하는 입술의 위치를 찾게되었습니다.