개방교합
10대
2025.02.24
개방교합
10대
본문
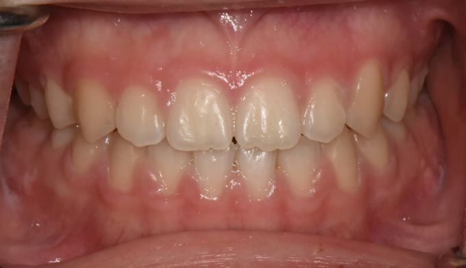
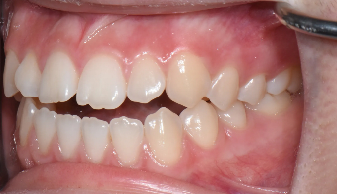
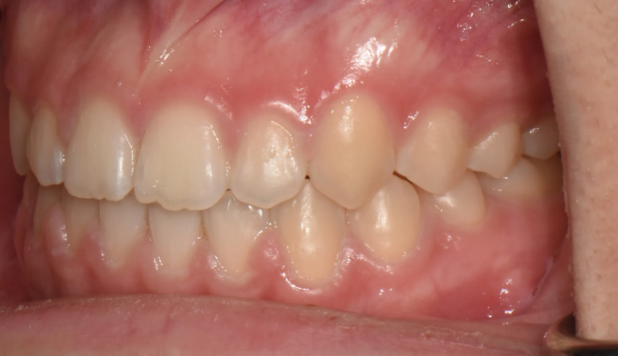
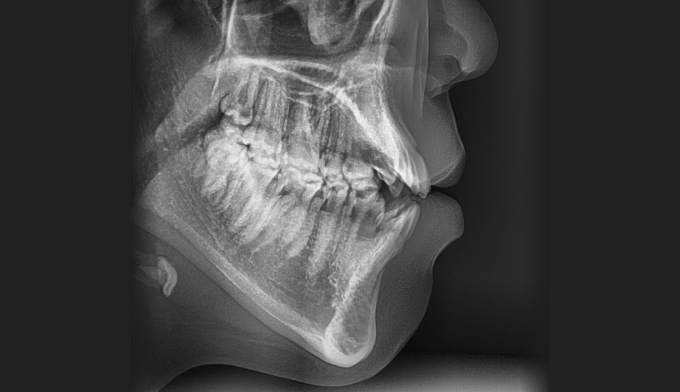
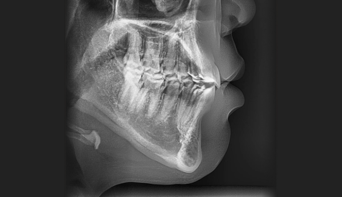
개방교합은 좋지않은 발음을 만들기도 하지만 심미적으로도 좋아보이지 않아서 교정치료를 받으러 많이 오십니다. 치아는 가지런하므로 교정치료가 어렵지 않아 보이지만 개방교합의 치료는 교정용 미니스크류의 식립도 필요하며, 재발도 잘되는 어려운 교정입니다. 교정치료 이후에 재발되지 않게 주기적인 관리 및 연습도 필요합니다.
어금니의 미니스크류의 식립을 통하여 개방교합을 치료하였습니다. 총 치료기간은 13개월입니다.





