간편 회원가입

간편 회원가입을 하시면 리얼한 치료 전후사진을 확인하실 수 있으며 브라우저 창을 닫으면 자동으로 회원탈퇴 처리됩니다.

간편 회원가입

무턱
20대
2025.02.24

본문

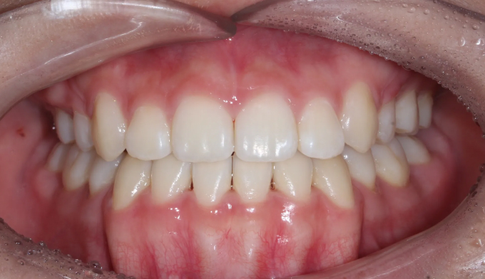
Before

After

Before

After

Before

After

Before

After

치열을 고르게 하는것은 교정을 하는 치과의사면 누구나 쉽게 가능합니다. 교정을 할때 중요한점은 얼굴 전체를 고려한 교정을 해야한다는 점입니다. 치열이 바뀌면서 동시에 아래턱과 위턱의 조화가 바뀌고, 그에따른 입 주변 근육의 경직도가 바뀌기 때문에 교정 중간중간 환자 안모의 세심한 관찰이 필요합니다.

돌출된 치아를 후방이동 시키면서 동시에 후퇴되있는 무턱을 전방으로 위치시키는 무턱교정을 진행했습니다.

총 교정기간은 22개월 입니다.