비대칭
10대
2025.02.24
비대칭
10대
본문
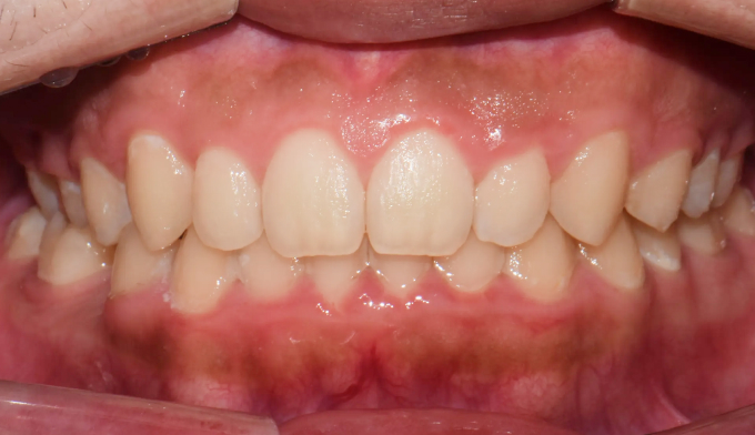
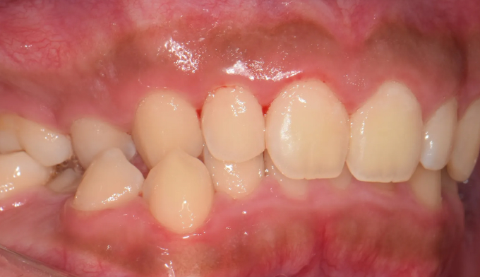
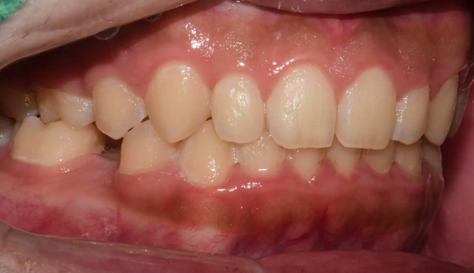
얼굴에 비대칭이 있는 경우의 대부분은 위턱과 아래턱의 폭경 부조화로 인해 나타납니다.
위턱과 아래턱의 좌우 폭이 맞지 않아 본인도 모르게 한쪽으로 틀어서 씹게 되면서 비대칭이 발생하게 됩니다.
치열이 많이 삐뚤빼뚤하지 않은경우이므로 위아래 폭경만 조화롭게 맞춰주면 비대칭은 저절로 해소됩니다.
치료기간은 10개월 소요되었습니다.
한쪽이 아예 거꾸로 물렸던 상황에서 윗니가 아랫니를 잘 덮을 수 있게 만들었고, 치열의 중심선도 맞추었습니다.



