어금니공간
20대
2025.02.24
어금니공간
20대
본문
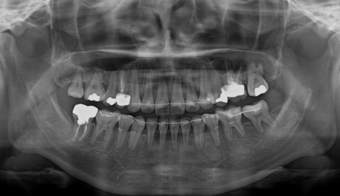
선천적으로 다수의 영구치가 상실된 경우, 이를 해소하는 방법은 공간을 벌려서 임플란트와 같은 보철치료를 받거나 혹은 교정치료를 통해 공간을 닫아버리는 방법이 있습니다. 교정치료의 기술이 부족했던 과거에는 보철치료가 주된 선택지였지만 요즘에는 교정치료를 통해 내 이를 살리면서 공간을 닫는 술식이 많이 행해집니다. 치아의 갯수가 충분해서 보철치료를 하지 않아도 되는 상황이라면 교정치료를 통해 효율적으로 교합을 형성하시는것을 추천드립니다. 교정기간은 13개월 소요되었습니다.



