간편 회원가입

간편 회원가입을 하시면 리얼한 치료 전후사진을 확인하실 수 있으며 브라우저 창을 닫으면 자동으로 회원탈퇴 처리됩니다.

간편 회원가입

돌출입, 재교정
20대
2025.02.24

본문

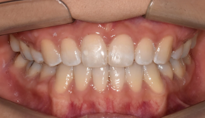
Before

After

Before

After

Before

After

Before

After

어릴적 한번의 치아교정을 진행했었다는분입니다. 안모와 성장 경향을 고려하지 않고 단순히 치아만을 가지런하는 교정을 하게 된다면, 성인이 되어서 불만족스러운 안모를 가지게 될 수 있습니다.

치열은 고른편이지만 돌출입의 정도가 심하여 교정치료를 통하여 돌출입을 해소하기로 하였습니다.

다른 치과에서 양악수술까지 필요할 수도 있다는 이야기를 들었다고 합니다. 수술 없이 최대한 교정으로 해소해보고자 하였습니다.

입이 들어가고 부턱이 개선되면서 보다 더 자연스러운 미소를 가지게 되었습니다. 또한 돌출입이 심한 경우, 교정치료 이후에 입 주변 근긴장도의 변화로 너무 많이 보였던 콧구멍의 크기가 줄어들어 보이는 효과도 생깁니다.

총 교정기간은 22개월입니다.