개방교합,
주걱턱,
덧니
10대
2025.02.24
개방교합,
주걱턱,
덧니
10대
본문
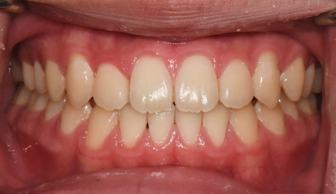
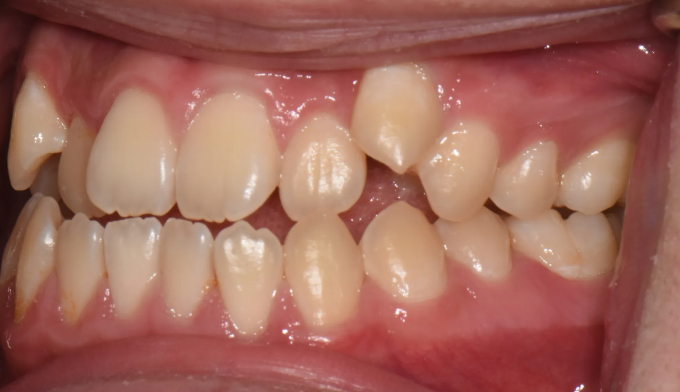
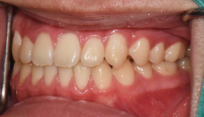
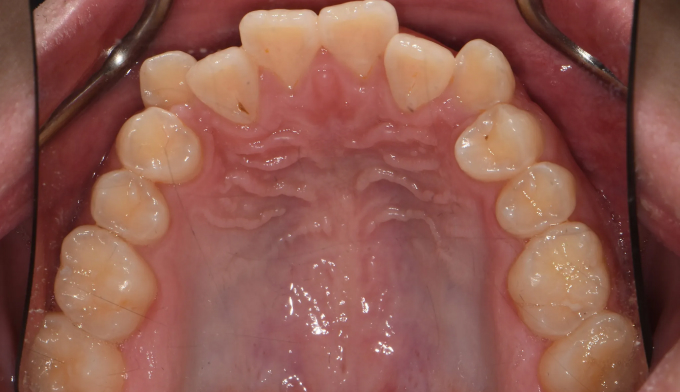
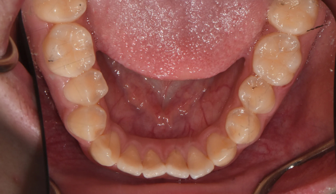
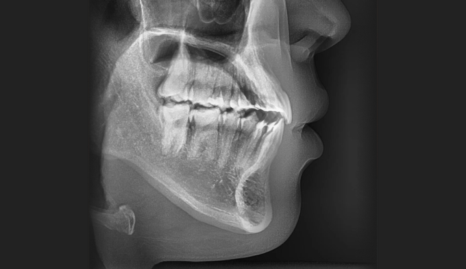
주걱턱 경향을 갖는 청소년들은 개방교합과 덧니를 동시에 갖는 경우가 많습니다. 아래턱의 과도한 성장은 혀의 위치를 아래로 처지게 만들고, 이는 위턱의 폭을 줄어들게 만들어 덧니가 생기기 쉽게 만듭니다. 그리고 과도한 아래턱의 성장은 앞니의 교합을 벌어지게 만들어 개방교합 또한 나타나게 됩니다.
그 정도에 따라 발치가 필요한 경우도 있지만, 성장기의 청소년의 경우에는 최대한 발치 없이 자연스러운 치열과 입매를 만드려고 합니다.
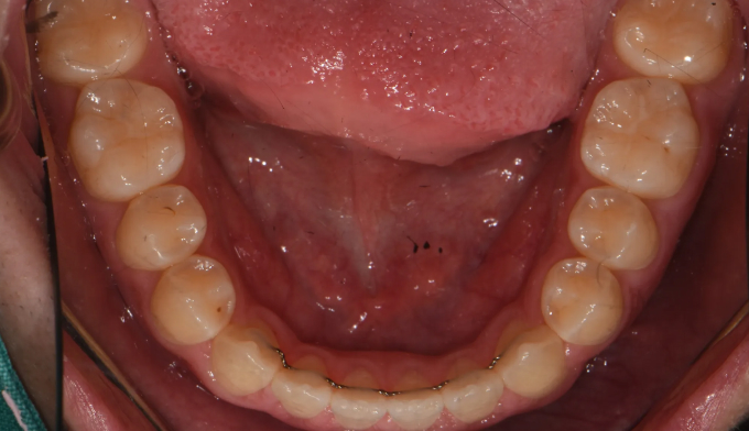
좁아진 위턱 악궁을 확장시켜서 치아를 배열시키고, 과도하게 앞으로 나온 앞니를 미니스크류를 이용하여 후방이동 시킵니다.
총 치료기간은 24개월 소요되었습니다.
남자아이들의 경우에는 성장이 고등학교 이후에도 지속되는 경우가 많으므로 치료 이후에도 주기적으로 성장을 관찰하여야 합니다.











