어금니쓰러짐
20대
2025.02.24
어금니쓰러짐
20대
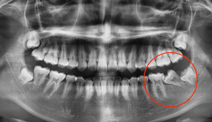
본문
성장과정 중 어금니의 잘못된 맹출경로로 인해 쓰러지면서 나오는 경우가 종종 있습니다. 어금니가 쓰러지게 되면 해당부위에 음식이 저류되어 충치가 생기기 쉬워지며, 해당부위에 음식의 부패로 냄새와 함께 잇몸염증이 나타나기 쉽습니다. 나머지 부위에 대한 교정치료 욕구가 없다면 해당 어금니부위만 부분교정을 통해 어금니를 바로 세워줄 수 있습니다. 교정치료는 9개월 소요되었습니다.



