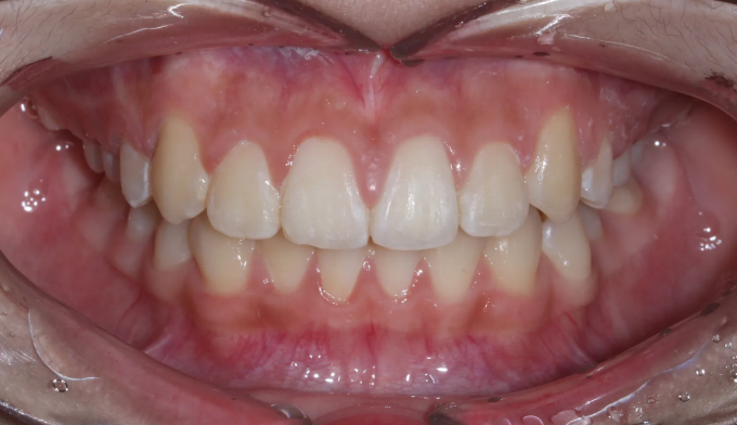
공간부족,
상악만 교정
10대
2025.02.10
공간부족,
상악만 교정
10대
본문
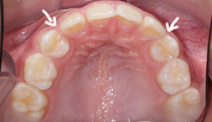
송곳니가 나올 공간이 전혀 없어 보입니다.(화살표로 표시한 부분이 송곳니가 나와야 할 공간입니다)
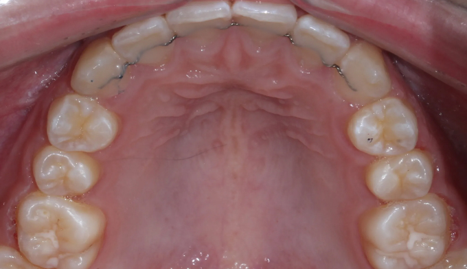
치아교정은 바른 교합을 형성하는것이 중요한 목적이기 때문에 윗니와 아랫니를 모두 교정하는것이 올바른 방법이지만, 특수한 경우에 있어서는 한쪽만 교정을 진행하는 경우도 있습니다.
위와 같은 경우는 환자 개인적인 사정으로 윗니만 교정한 경우입니다.
안모를 고려하여 앞니가 앞으로 뻗치지 않게 주의하면서 어금니만 후방이동시켜 송곳니가 맹출할 공간을 만듭니다.
총 교정기간은 13개월이 소요되었습니다.







