공간부족
소아
2025.02.10
공간부족
소아
본문
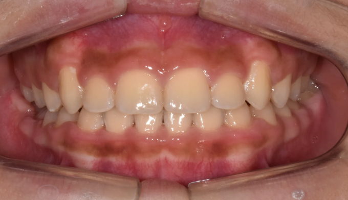
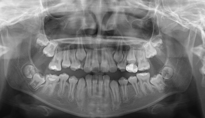
초등학교 4학년 남학생이 이가 고르지 못하고 송곳니가 나지 않는다고 합니다.
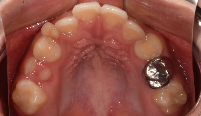
엑스레이를 찍어보니 치아가 나올 공간이 많이 부족하여 이가 고르지 못하고 송곳니가 나올 공간도 부족해 보였습니다. 정상적인 맹출 순서가 어긋나다보니 치열의 비대칭도 관찰됩니다.
약 8개월간의 공간확장치료를 통하여 이가 배열되고 송곳니가 나올 공간을 만들어주었습니다.
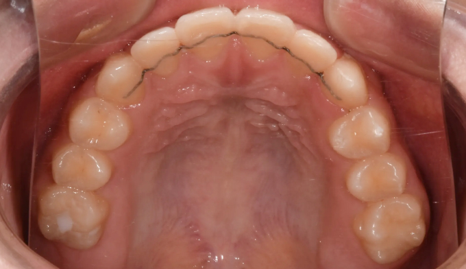
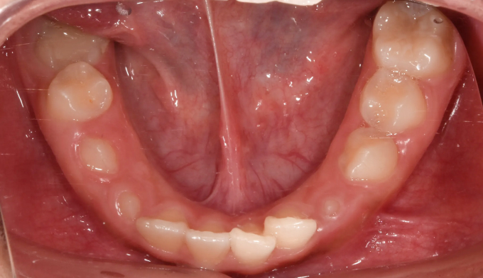
공간 확보 후 치아를 배열하여 교정 마무리 하였습니다.
이때 치아가 뻗쳐보이거나 입이 나와보이게 확장하지 않아야 합니다.
총 교정기간은 22개월 소요되었습니다.
- PREV진**







