앞니공간
60대이상
2025.02.10
앞니공간
60대이상
본문
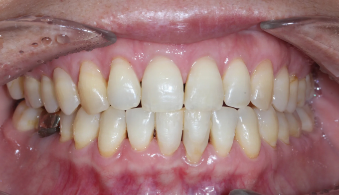
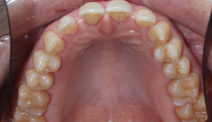
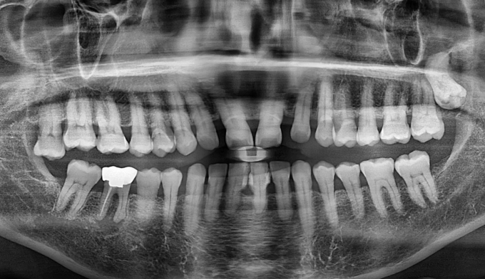
기존에 아래 앞니 사이 공간들에 레진이라는 치아색 나는 재료로 메워놓으셨던 분입니다. 나이가 들면서 잇몸이 약해지게되고 앞니가 점점 더 벌어질 수 있습니다.
타치과에서 다시 레진으로 공간을 없애려고 하였으나 더이상의 보철치료를 원하지 않으셔서, 기존에 존재하던 레진을 제거하면서 동시에 앞니 사이 공간을 교정치료를 이용해 닫아주기로 하였습니다.
기존에 앞니가 벌어지게 된 이유인 치주염을 치료하면서 동시에 앞니 공간을 교정을 통해 닫아줍니다.
총 교정기간은 9개월입니다.





