덧니,
돌출입
30대
2025.02.10
덧니,
돌출입
30대
본문
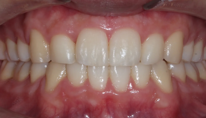
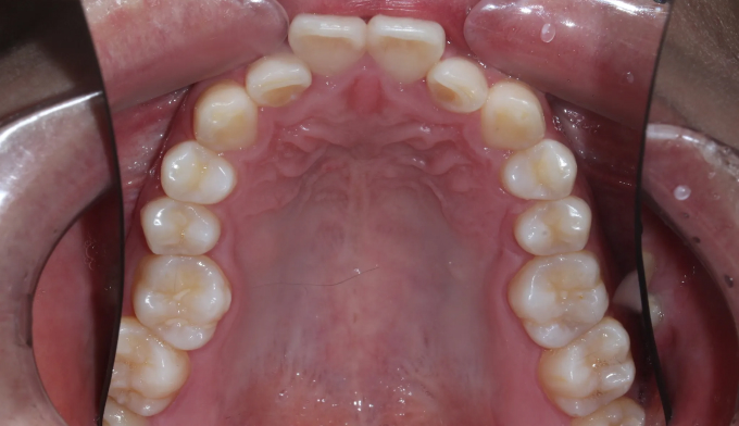
가지런하지 못한 치열과 돌출입을 동시에 가지고 있는 경우입니다.
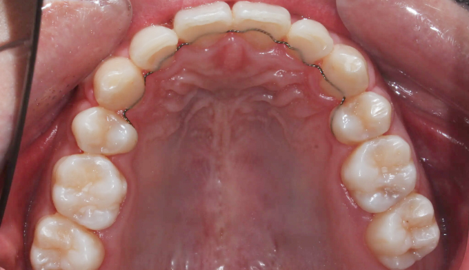
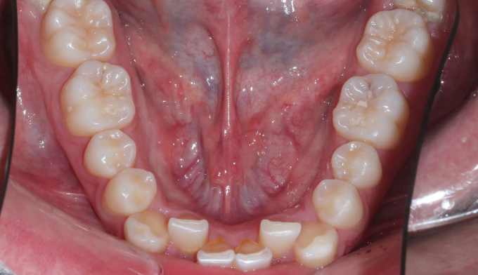
치아를 배열하고 입을 뒤로 넣기 위해 발치교정으로 진행합니다.
총 교정기간은 20개월입니다.
교정치료를 통해 성형수술과 같이 변화되는 얼굴의 모습을 확인할 수 있습니다.
치열이 가지런해짐은 물론이고, 입술 주변의 긴장도가 줄어들어, 보다 더 편하고 자연스러운 입매를 가지게 됩니다.







