덧니
60대이상
2025.02.10
덧니
60대이상
본문
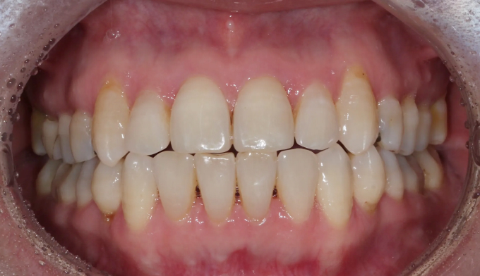
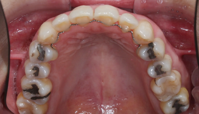
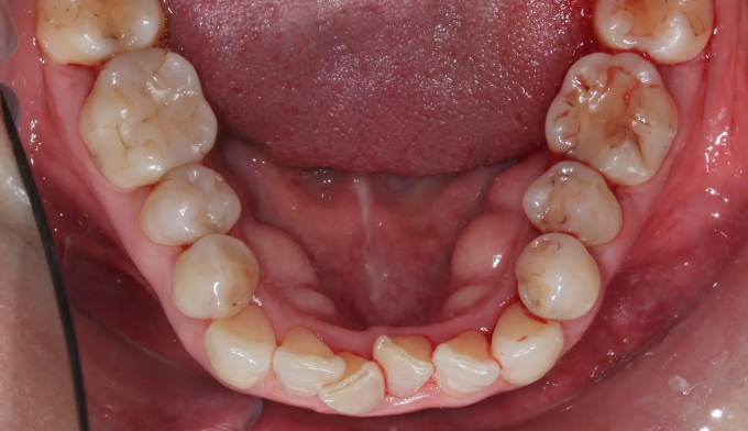
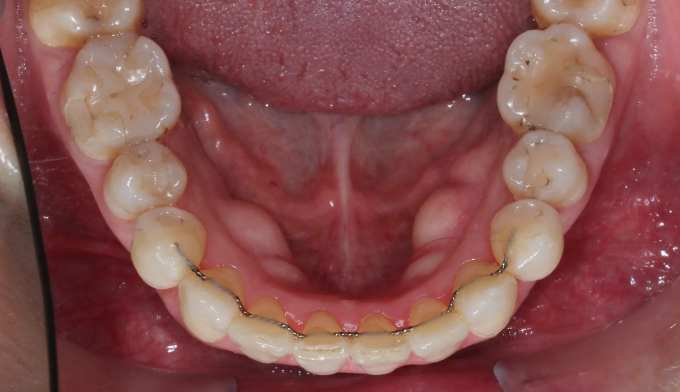
교정치료에 나이 제한은 없습니다.
건강한 잇몸을 가지고 있다면 60,70대에도 전혀 문제없고, 잇몸이 건강하지 못하다면 20대여도 교정이 힘들 수 있습니다.
아무래도 나이가 있으면 세포활성이 떨어지고 피부의 탄력도 줄어들기 마련입니다.
따라서 섣불리 발치교정을 진행하여서는 안됩니다. 오히려 교정후에 더 나이들어 보이는 경우가 생길 수 있기 때문입니다.
비발치교정을 통하여 치아를 배열하고 일부러 앞니를 조금 더 앞으로 이동시켜 깊어진 팔자주름을 옅게 만들어주었습니다.









