돌출입,
비대칭
10대
2025.02.10
돌출입,
비대칭
10대
본문
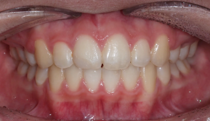
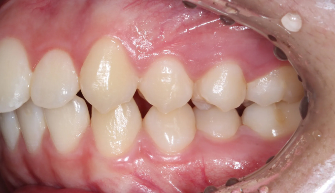
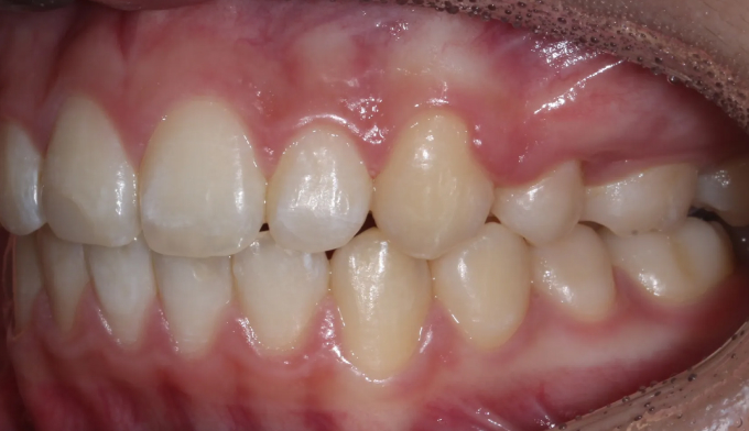
전반적인 안모가 돌출되어 있고 치열이 한쪽으로 쏠려서 교합도 좋지 못한 상태입니다.
일반적인 돌출입 교정에서는 그 정도에 따라 발치 유무를 결정합니다.
위의 경우 그 경계선에 있는 케이스였으나 환자 본인의 돌출입 개선에 대한 의지가 커서 윗니만 발치하여 돌출입을 해소하기로 하였습니다.
총 교정기간은 21개월 입니다.







