공간부족,
덧니
소아
2025.02.10
공간부족,
덧니
소아
본문
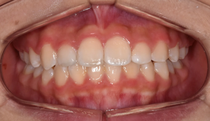
앞니가 삐뚤빼뚤해서 교정치료를 진행했습니다.
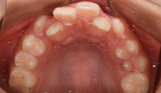
공간이 많이 부족해보여 발치교정도 고려하였으나 아이의 안모를 고려하였을때 비발치로 하는것이 보다 더 나은 안모를 형성할거라고 생각되어 비발치로 진행하였습니다.
9개월간의 공간확장을 통하여 치아를 배열할 수 있는 공간을 만들었고,
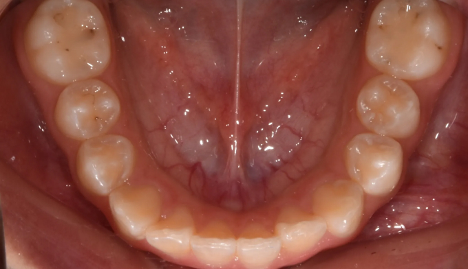
이후 개별 치아이동을 통하여 가지런한 치열을 완성하였습니다.
총 20개월의 교정기간이 소요되었습니다.
성인이 되어 교정을 했다면 아마 발치교정으로 진행되었을 케이스가 어린나이에 교정한 덕분에 비발치로 진행된 경우입니다. 치아를 아끼고자 한다면 한살이라도 어린나이에 교정을 하는게 좋습니다.





